
Imunita má mnoho oblastí (obranných linií) a je nesmírně komplikovaná. Tvoří ji složitý systém buněk (buněčná imunita) a chemických látek (látková imunita). Pro běžný každodenní život je pro nás nejdůležitější systém imunitní sliznice. Neboť právě přes sliznice (nosní, střevní, oční, průdušková atd.) se do nás dostávají patogeny (viry, bakterie, plísně apod.). Dobře fungující slizniční imunita dokáže eliminovat až 99% běžných hrozeb (např. virů). Ale co je to vlastně ta slizniční imunita?
M.A.L.T. = zkratka pro slizniční imunitu
M.A.L.T. (angl. Mucosa Asociated Lymphoid Tissue) je zkratka pro lymfatický systém spojený se sliznicí, lidově a zjednodušeně je to vlastně slizniční imunita. Jedná se o shluk drobných útvarů (viditelných pod mikroskopem), kterými je každá sliznice doslova protkaná (viz obrázek níže). Představme si to, jako velké množství malých pevností, kterými je posetá hranice mezi dvěma státy například ve válečném stavu. V našem případě je tou hranicí sliznice, která odděluje náš organismus od vnějšího prostředí. Naše tělo a vnější prostředí jsou si vzájemně vlastně znepřátelená prostředí. Tyto malé „pevnosti“ obsahují každá statisíce specifických buněk – lymfocytů, které, jako vojáci, čekají na povel a okamžitě začnou ničit „vetřelce“ (např. virus, bakterii, plíseň), pokud se snaží sliznici překonat. Avšak ne všechny lymfocyty v MALT pevnostech jsou schopny bojovat. A zde nastává rozdíl mezi produkty podporujícími imunitu.
M.A.L.T. (slizniční imunita) tvoří až 50% celého lidského imunitního systému. Takže je opravdu pro naše tělo suverénně nejdůležitější. Pokud jej tedy dokážeme vhodně regulovat (ne hyperstimulovat), odvede perfektní práci a účinně nás ochrání před 99 % běžných hrozeb. Jak na to?
Mikroskopický řez nosní dutinou (obr. A) s přítomnou sliznicí. Na obrázcích B, C, D, šipky ukazují na MALT shluky (pevnosti) plné imunitních lymfocytů
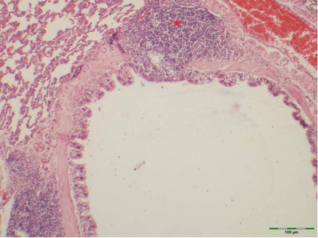
Mikroskopický řez malou průduškou v plicích. Hvězda ukazuje na MALT shluk, který je plný imunitních lymfocytů
PRO-MALT – účinně obnovuje (moduluje) MALT dýchací soustavy, bez rizika hyperstimulace a prokazatelně chrání i děti před respiračními virovými onemocněními
Slovensko-italská společnost PHARCO GRANCREO vyvinula a přinesla na trh v dobách kovidu inovativní produkt PRO-MALT. Jeho složení je zaměřeno na obnovení (modulaci) slizniční imunity dýchacích cest. Právě v době kovidu se ukázal jeho nenahraditelný účinek a mnohým postiženým zřejmě zachránil život. Pro laiky je poměrně náročné popsat, jak funguje. Tak zkusím jeho působení vysvětlit názorně a v porovnání s běžnými imunitu podporujícími (hyperstimulujícími) produkty.
Drtivá většina produktů na imunitu má jako hlavní účinek jen hyperstimulaci imunitních procesů. Fungují podobně jako turbo v autě. Krátkodobě zvyšují a urychlují výkon těchto procesů, které má organismus aktuálně k dispozici pro imunitu. No a tady je další zásadní rozdíl. Tyto produkty nepřidávají žádné dodatečné imunitní vlastnosti tělu. Ani turbo v autě, kromě krátce trvajícího zvýšení výkonu, nepřidává autu nic víc. Samozřejmě neznamená to, že je to špatně a produkty nejsou funkční. Avšak věda pokročila a přinesla i účinnější možnosti, jak podpořit imunitu.
Výhody produktu PRO-MALT jsou v udržitelnosti normální imunity sliznice dýchacích cest
PRO-MALT byl cíleně vyvinut za účelem, aby vhodně reguloval buněčnou i látkovou část imunity, přičemž ani jednu z nich nestimuloval k přehnané odezvě. Jednoduše, aby ji v podstatě udržoval v normálním stavu. Výše jsme zmínili, že v „pevnostech“ MALT jsou přítomny statisíce lymfocytů. Právě oni jsou jediné schopny likvidovat viry a podobně. Ovšem dokážou to pouze lymfocyty, které jsou imunitně zralé. Představme si to, jak vojáky. I v kasárnách se nachází mnoho vojáků, ale bojovat mohou pouze ti, kteří prošli řádným výcvikem. Ostatní vojáci jsou v kasárnách jen jako „zásoba“. Přesně tak je to i s lymfocyty. V pevnostech MALT se nachází mnoho lymfocytů, ale jen malá část je imunitně zralých (vycvičených) k boji. Nezralé lymfocyty jsou jen zásoba, imunitě nijak nepomohou, dokud neprojdou speciální přeměnou (zráním).
A právě zde přichází na pomoc inovativní PRO-MALT.
Jeho složení prokazatelně zvyšuje počet imunitně zralých lymfocytů v MALT pevnostech (viz obrázek níže). V tom tkví jeho inovace, takových produktů je na trhu velmi málo. PRO-MALT nefunguje jako turbo v autě, které „drancuje“ motor k maximálnímu výkonu. PRO-MALT mu přidává jakoby další válce. Více válců pohání auto silněji, ale hlavně rovnoměrněji a trvaleji. Takže má delší životnost, pohodlnější a tišší jízdu.
Množení a zrání lymfocytů díky speciálnímu složení PRO-MALT. Ty následně efektivně likvidují virem postižené buňky
Další výhodou PRO-MALT oproti běžným imunoproduktům je, že obsahuje látku, která tlumí úvodní přehnanou zánětlivou reakci dýchací sliznice (MALT) při kontaktu s patogenem (např. virem). Tato reakce se odborně označuje také jako cytokinová bouře a PRO-MALT ji dokáže výrazně zkrotit. To je vysloveně žádoucí při obzvláště agresivně probíhající infekci dýchacích cest (např. chřipka, ale také jako byl např. kovid), a hlavně v plicích. Akutní zápal plic je obzvlášť závažný život ohrožující stav, zejména u kovidu při něm byla extrémně vysoká úmrtnost. Užívání PRO-MALT, právě díky unikátní schopnosti omezit úvodní zánět, v dobách kovidu zřejmě přispěl k záchraně života množství lidí.
Pro koho je PRO-MALT vhodný a co dokázala studie u dětí?
PRO-MALT byl vyvíjen v dobách kovidu. Takže hlavním cílem bylo výrazně zvýšit imunitu dýchací sliznice a zachránit lidi. Je tedy vysloveně vhodný pro lidi a děti (od 6 let) s častými nebo opakujícími se (min. 3x za rok) infekcemi horních nebo dolních cest dýchacích. Také pro alergiky s projevy na dýchacích cestách., např. nosní výtok, kašel.
Doporučuje se užívat jej v době zvýšených respiračních infekcí v období od října do února. Studie (obrázek níže) u dětí prokázala, že složení produktu dokáže v této době až u téměř poloviny dětí s opakovanými respiračními infekcemi (min. 3 akutní respirační infekce za rok) snížit počet akutních infekcí na 0 (slovem nula). U dalších téměř 40 % dětí došlo ke snížení počtu akutních infekcí dýchacích cest na nejvýše j1 akutní infekci v daném období.*
Výsledky klinického zkoušení u dětí. Žluté sloupce pro složení jako PRO-MALT. Červené sloupce ukazují na bakteriální lyzáty s výrazně omezeným imunoúčinkem.
PRO-MALT je také vysloveně vhodný i pro lidi trpící autoimunitním (např. revma, skleróza, asthma, psoriáza, Crohn atd.) nebo onkologickým onemocněním. U nich je jakákoli stimulace imunity vysloveně nežádoucí, protože může významně snížit účinnost primární léčby. Protože PRO-MALT imunitu moduluje a ne stimuluje, představuje pro tuto skupinu jednu z mála bezpečných alternativ.
asthma

revma

psoriáza

Crohn

PRO-MALT je také vhodný preventivně pro lidi nebo starší pacienty, kteří nastupují léčbu (případně operaci) do nemocnic. V nemocnicích je běžná nozokomiální infekce, odolná vůči většině antibiotik. Senioři jsou vystaveni riziku zápalu plic při delším ležení (nejen v nemocnici). Akutní zápal plic patří u seniorů po oběhových příčinách (srdeční selhání, infarkt, mrtvice) k druhé nejčastější příčině úmrtí. Pravidelné preventivní užívání PRO-MALT jim může zachránit život.



PRO-MALT obsahuje 30 kapslí, užívá se vždy 10 dní v měsíci a jeho imunomodulační účinek obvykle přetrvává další 3 týdny. Je běžně dostupný v lékárnách a při obvyklé ceně, vychází denní dávka na méně než 25,- Kč, a to stojí za vyzkoušení.
Porovnání rozdílů účinku běžných imunitu stimulujících produktů a produktu PRO-MALT
*Adele Nigro, Amerigo Nicastro, and Rinaldo Trodella – Retrospective observational study to investigate PRO-MALT simmilary product, a multifactorial nutritional product, and bacterial extracts in theprevention of Recurrent Respiratory Infections in children – International Journal of immunopathology and pharmacology.

PRO-MALT 30 kapsúl
- Ověřené recenze
- Vědecky testovánoúčinné složení
- Bezpečný nákupna Heureka.cz







